CaMedical Sede Fiscale e Operativa : Via Bazzana Inferiore , 3 Assago (Mi) Italy
Tel : +39 02.81.53.27.00 Email : info@camedical.it


SISTEMI PORTATILI



MX7
M9
ZEUS
MX7 rende possibile eseguire diagnosi accurate basate sull'innovativa piattaforma ZST+, supportando flussi di lavoro efficienti grazie al touchscreen completamente personalizzabile. L'unità principale ultraleggera e la batteria a lunga durata (8 ore) ne consentono l'utilizzo in tutte le situazioni cliniche che richiedono mobilità. Funzioni e strumenti di analisi avanzati possono essere integrati nelle attività quotidiane.
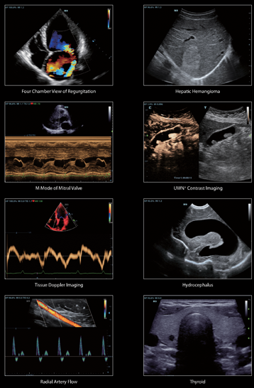
Basato sulla piattaforma ad ultrasuoni di ultima generazione di Mindray, m Quadro, M9 ha innalzato gli standard industriali ad un nuovo e superiore livello. I processori avanzati per la trasmissione e la ricezione dei segnali offrono una rilevazione eco sensibile e precisa. Le tecnologie innovative per trasduttori consentono inoltre una migliore penetrazione ed una risoluzione più elevata, ottimizzando enormemente l'esperienza diagnostica.
Nuovissimo ecografo portatile, piccolo e leggero (44 mm e meno di 3 Kg), dotato di un touch screen completamente personalizzabile, ZEUS rappresenta lo strumento ideale sia per il medico di medicina generale, sia per lo specialista clinico. Dotato di un’ampia varietà di trasduttori lineari e convessi, ZEUS si adatta perfettamente a tutte le applicazioni ecografiche: addominale, vascolare, piccole parti, muscoloscheletrica ed altro ancora.




I nostri specialisti ,saranno a vostra disposizione per la dimostrazione del sistema , presso i vostri Studi o Centri Medici.