CaMedical Sede Fiscale e Operativa : Via Bazzana Inferiore , 3 Assago (Mi) Italy
Tel : +39 02.81.53.27.00 Email : info@camedical.it



Viscoelasticity, Attenuation and Sound Speed Imagine Quantification

Resona A20 Mindray , una soluzione completa per agevolare il rilevamento, il monitoraggio e il trattamento delle lesioni epatiche e delle condizioni cliniche del fegato, con un approccio multiparametrico a supporto di una diagnosi integrata e di un orientamento terapeutico.
Steatosis Steatohepatitis .Cirrhosis Fibrosis Hepatocellular Carcinoma




La piattaforma AIT ha raggiunto significativi progressi nei dati ad ultrasuuoni ed elettrici, negli algoritmi di imaging e nella potenza di calcolo del sistema. Gli Ultrasuoni ed elettrici di alta qualità sono garantiti dal trasduttore AFM e dalla tecnologia FreeWave Tx/Rx.
Inoltre, la tecnologia FreeBeam Beamforming e Free IQ Intelligent Image Processing sono dedicate alla rivelazione fedele dei dettagli dei tessuti.
Mindray A20
Mindray sta per lanciare il sistema ecografico premium: Resona A20. Basato sulla piattaforma Acoustic Intelligence Technology, ha portato le prestazioni dell'imaging ecografico a un nuovo livello, aiutando gli esperti clinici a ottenere diagnosi accurate ed esplorazione accademica. Insieme, possiamo esplorare nuovi orizzonti e spingere i confini della conoscenza medica.
Basato sulla piattaforma AIT, Resona A20 fornisce ai medici una chiarezza di imaging ecografico superiore per la diagnosi clinica di malattie difficili. HD Scope+ si basa sull'innovativa tecnologia di beamforming adattivo, che rivela ulteriormente i piccoli dettagli delle lesioni con potenti capacità diagnostiche ecografiche.


Multi-parametric quantification
tools
Multi-parametric combined analysis
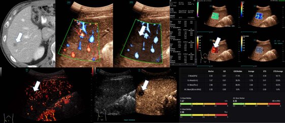
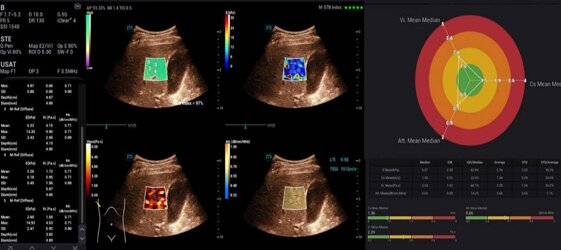
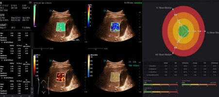
STVi consente la valutazione quantitativa della viscosità dei tessuti e fornisce immagini multiparametriche in tempo reale, offrendo un approccio più completo alla diagnosi per immagini e all'analisi quantitativa di malattie epatiche croniche, lesioni mammarie e altre condizioni.
M Reference è uno strumento di analisi combinata multiparametrica che consente diagnosi MPUS in tempo reale, nella stessa sezione e nella stessa schermata. A differenza delle tradizionali immagini ecografiche singole, offre informazioni diagnostiche multidimensionali e indicatori di valutazione quantitativa per le malattie.


Tutti gli esami sono stati eseguiti da un esaminatore esperto (>3000 esami/anno, >20 anni)
utilizzando un ecografo di fascia alta (Mindray/Resona A20) con una sonda convessa da 1 a 7 MHz
(SC7-1M). Le richieste di esami ecografici sono state effettuate in base alle decisioni del comitato oncologico. Il consenso informato scritto era disponibile per gli esami CEUS in tutti i casi. La diagnostica epatica CEUS
è conforme alle linee guida EFSUM come uso on-label [3]. È disponibile un voto etico positivo del comitato etico locale (come parti dello studio DEGUM IV) [5].

CaMedical Sede Fiscale e Operativa : Via Bazzana Inferiore , 3 Assago (Mi) Italy
Tel : +39 02.81.53.27.00 Email : info@camedical.it